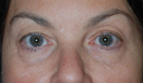
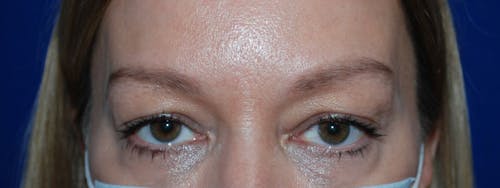
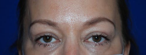
Experience a revitalized, youthful look with blepharoplasty in Washington, DC, at our practice. Dr. Forman employs advanced techniques and technology for stunning, rejuvenating results.
Benefits of Blepharoplasty
Blepharoplasty can offer several significant benefits to individuals seeking eye or eyelid rejuvenation, including the following:
- More youthful-looking eyelids and eyes
- Removal of excess eyelid skin, thus reducing drooping or hooded eyes
- Reduction of bags and dark circles beneath the eyes
- Improved field of vision
- Reduced fine lines and wrinkles around the eyes
- Elimination of “tired eyes” or grouchy look
- Improved self-confidence
- Long-lasting results























